3D Models of Eyes from CAT Scans

 3D Models of Eyes from CAT Scans

Authors: Giancarlo Paternoster, Patrick Lopath

Project Completed: October 2024

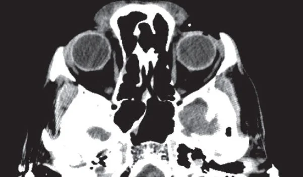
This project involves the development of anatomically precise 3D eye models created from CT scans, meticulously designed in SolidWorks. These models capture the intricate details of the cornea, sclera, and surrounding structures, providing a highly accurate representation of ocular anatomy. By leveraging patient-specific imaging data, the models enable precise visualization and simulation of complex eye structures in three dimensions.

A key application of these models is in scleral lens fitting, where they are used to simulate lens placement and alignment on the eye's surface. The models allow for detailed analysis of lens fit, including centration, rotation, and clearance, ensuring optimal customization for individual patients. Beyond lens fitting, these models also serve as powerful tools for researching ocular biomechanics, testing ophthalmic device designs, and refining surgical approaches, advancing both clinical and academic pursuits in ophthalmology.

Watch the Video (youtube)